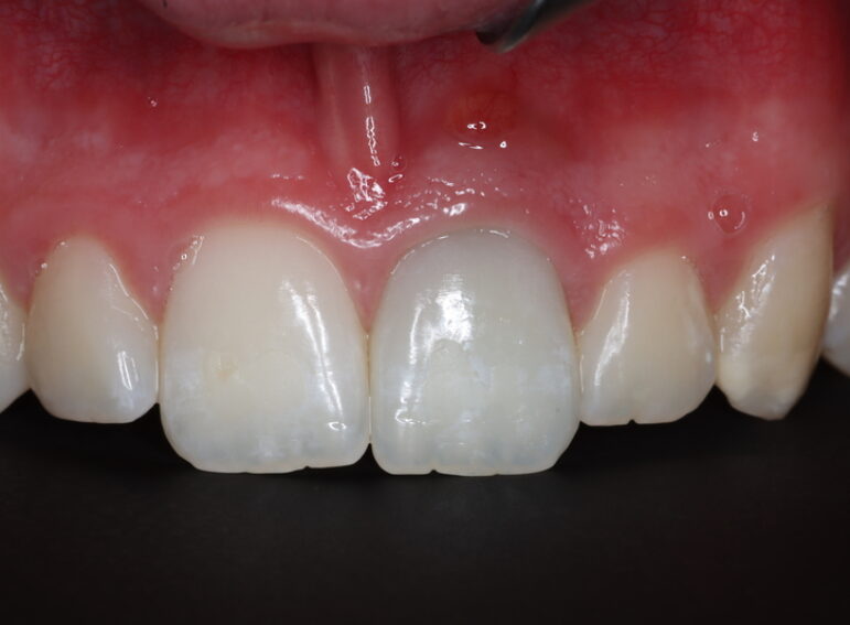
Case 17 – Endodontics

Discoloured incisor due to root filling

For more information regarding this treatment
Contact Us or phone phone 01273 054 740
Back to Clinical Cases

Get in touch

"My thanks to you and your team for excellent service and being so reassuring. I wouldn’t hesitate to contact you again should I need too.”

Patient CB

"Such a great place. Friendly, professional and talented staff. They turned my horrible brown front tooth into something white and beautiful. I can now smile…”

Patient KM

"Excellent Treatment. I had an very relaxing and amazing experience at the fantastic Graystone Referral Centre a few months ago. This was largely down to…”

Patient Phill

"I visited Graystone's to have a very complicated wisdom tooth filled. I visited Graystone's to have a complicated filling in my wisdom tooth. Sadly I've…”

Patient D Jones

"Outstanding Dental Practice. The whole team at Graystone are so friendly and professional that I felt I was in very safe and trustworthy hands every…”

Patient F Donnell

"We were made to feel welcome as soon as we walked through the door. Everyone was friendly but very professional. A very comfortable visit to…”

Patient V Rudman

"Excellent dental practice. I had the most wonderful and positive experience at Graystone referral centre. Aj and his highly skilled team provided the upmost care…”

Patient J Bird

"Restorative care. Following a series of operations, friends suggested I approach AJ for advice on post operative care and replacement teeth. Over many months, I…”

Patient LA

"Excellent dentist (AJ), highly recommended and professional. His staff were also very competent and accommodating. I had a lot of work done and despite the…”

Patient S Chetin

"First class dental treatment. I was treated by AJ for an infected tooth which had to be removed. After a very professional and reassuring consultation,…”

Patient P Howarth

View Testimonials

...

...

...

...

...

...

...

...

...

...

...

...

...

...

...

This error message is only visible to WordPress admins
Error: Access Token is not valid or has expired. Feed will not update.
Graystone Referral Centre Partner logos
Graystone Referral Centre Partner logos
Graystone Referral Centre Partner logos
Graystone Referral Centre Partner logos
logo2 british dental association
logo5 geistlich biomaterials
logo3 association of dental implantology
logo1 british society of paediatric dentistry
Graystone Referral Centre Partner logos
Invisalign-logo
logo4 british orthodontic society
Graystone Referral Centre Partner logos
Graystone Referral Centre Partner logos
Graystone Referral Centre Partner logos
Graystone Referral Centre Partner logos
Graystone Referral Centre Partner logos
Trustpilot