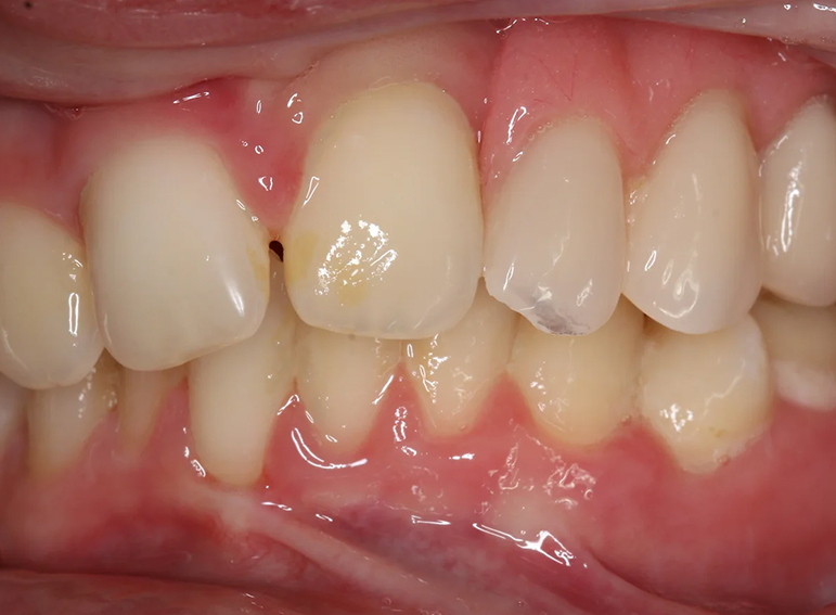
Case 4 – Children

Oral rehabilitation after childhood cancer.

For more information regarding this treatment
Contact Us or phone phone 01273 054 740
Back to Clinical Cases

Get in touch

"My thanks to you and your team for excellent service and being so reassuring. I wouldn’t hesitate to contact you again should I need too.”

Patient CB

"Such a great place. Friendly, professional and talented staff. They turned my horrible brown front tooth into something white and beautiful. I can now smile…”

Patient KM

"Excellent Treatment. I had an very relaxing and amazing experience at the fantastic Graystone Referral Centre a few months ago. This was largely down to…”

Patient Phill

"I visited Graystone's to have a very complicated wisdom tooth filled. I visited Graystone's to have a complicated filling in my wisdom tooth. Sadly I've…”

Patient D Jones

"Outstanding Dental Practice. The whole team at Graystone are so friendly and professional that I felt I was in very safe and trustworthy hands every…”

Patient F Donnell

"We were made to feel welcome as soon as we walked through the door. Everyone was friendly but very professional. A very comfortable visit to…”

Patient V Rudman

"Excellent dental practice. I had the most wonderful and positive experience at Graystone referral centre. Aj and his highly skilled team provided the upmost care…”

Patient J Bird

"Restorative care. Following a series of operations, friends suggested I approach AJ for advice on post operative care and replacement teeth. Over many months, I…”

Patient LA

"Excellent dentist (AJ), highly recommended and professional. His staff were also very competent and accommodating. I had a lot of work done and despite the…”

Patient S Chetin

"First class dental treatment. I was treated by AJ for an infected tooth which had to be removed. After a very professional and reassuring consultation,…”

Patient P Howarth

View Testimonials

Secure your space! Contact @dentinaltubules to book now.
 #graystonereferral #surreydentist #sussexdentist #kentdentist #Brightondentist #burgesshilldentist #eastbournedentist #horshamdentist #crawleydentist #hassocks #dentinaltubules
...

⭐️⭐️⭐️⭐️⭐️
Our paediatric team working their 5 star magic
#youngersmiles #graystonerefwrral #surreydentist #sussexdentist #kentdentist#burgesshilldentist #eastbournedentist #horshamdentist #crawleydentist #hassocks #sussexmums #sussexmumsanddads #sussexmumsinbusiness #burgesshillmums #brightonmums
...

We are so proud to provide such a fantastic Paediatric service ⭐⭐⭐⭐⭐
#youngersmiles #graystonerefwrral #surreydentist #sussexdentist #kentdentist#burgesshilldentist #eastbournedentist #horshamdentist #crawleydentist #hassocks #sussexmums #sussexmumsanddads #sussexmumsinbusiness #burgesshillmums #brightonmums
...

⭐️⭐️⭐️⭐️⭐️ #graystonereferral #surreydentist #sussexdentist #kentdentist #Brightondentist #burgesshilldentist #eastbournedentist #horshamdentist #crawleydentist #hassocks ...

Come and join our team!!
 #graystonereferral #surreydentist #sussexdentist #kentdentist #Brightondentist #burgesshilldentist #eastbournedentist #horshamdentist #crawleydentist #hassock
...

Happy 3rd birthday to us!
Thank you for all the support over the last 3 years.
We love providing teaching and training, supporting our local community and dentists with their patients for specialist care.
 #graystonereferral #surreydentist #sussexdentist #kentdentist #Brightondentist #burgesshilldentist #eastbournedentist #horshamdentist #crawleydentist #hassocks
...

Only a few spaces left for Wednesday.
We can’t wait for an evening with @rupert.s.austin 🦷🦷
#graystonereferral #surreydentist #sussexdentist #kentdentist #Brightondentist #burgesshilldentist #eastbournedentist #horshamdentist #crawleydentist #hassocks #dentinaltubules
...

Not a bad haul for a Wednesday 😂 we are so lucky to have such lovely patients.
 #graystonereferral #surreydentist #sussexdentist #kentdentist #Brightondentist #burgesshilldentist #eastbournedentist #horshamdentist #crawleydentist #hassocks
...

⭐️⭐️⭐️⭐️⭐️
We love being able to make your patients enjoy their smiles again ❤️
Contact us now to see how we can help your patients with specialist care
📞01273 054740
📧info@graystonereferral.com
 #graystonereferral #surreydentist #sussexdentist #kentdentist #Brightondentist #burgesshilldentist #eastbournedentist #horshamdentist #crawleydentist #hassocks
...

What a great way to start our week 😍⭐️⭐️⭐️⭐️⭐️
 #graystonereferral #surreydentist #sussexdentist #kentdentist #Brightondentist #burgesshilldentist #eastbournedentist #horshamdentist #crawleydentist #hassocks
...

⭐️⭐️⭐️⭐️⭐️ Our wonderful @dr.jasmineloke is with us every week to provide your patients the best Periodontal care.
Info@graystonereferral.com
01273 054740
 #graystonereferral #surreydentist #sussexdentist #kentdentist #Brightondentist #burgesshilldentist #eastbournedentist #horshamdentist #crawleydentist #hassocks
...

Getting lecture ready!! ✏️ If you haven’t been to one of our lectures before keep an eye out for our email save the dates and updates on instagram.
We look forward to welcoming you to @graystonereferralcentre
#graystonereferral #surreydentist #sussexdentist #kentdentist #Brightondentist #burgesshilldentist #eastbournedentist #horshamdentist #crawleydentist #hassocks
...

⭐️⭐️⭐️⭐️⭐️ contact our team
📞01273 054740
📧 info@graystonereferral.com
To see how we can help your little ones enjoy their dental experience
#youngersmiles #graystonerefwrral #surreydentist #sussexdentist #kentdentist#burgesshilldentist #eastbournedentist #horshamdentist #crawleydentist #hassocks #sussexmums #sussexmumsanddads #sussexmumsinbusiness #burgesshillmums #brightonmums
...

We look forward to seeing you! On Wednesday.
There are still a few spaces left, please email us to get your name down.
 #graystonereferral #surreydentist #sussexdentist #kentdentist #Brightondentist #burgesshilldentist #eastbournedentist #horshamdentist #crawleydentist #hassocks
...

It’s not just patients giving us ⭐️⭐️⭐️⭐️⭐️ our amazingly supportive colleagues to!
See for yourself at one of our lecture evenings.
 #graystonereferral #surreydentist #sussexdentist #kentdentist #Brightondentist #burgesshilldentist #eastbournedentist #horshamdentist #crawleydentist #hassocks
...

This error message is only visible to WordPress admins
Error: Access Token is not valid or has expired. Feed will not update.
Trustpilot